Lesi merah pada rongga mulut disesbabkan oleh prosess inflamasi, reaktif, vaskular, atrofi/erosif, purpura, dan neoplasia.1 Lesi dapat berwarna merah karena atrofi epitel, berkurangnya sel epitel, naiknya vaskularisasi, vasodilatasi, perdarahan jaringan, meningkatnya hemokonsentrasi.2 Berdasarkan letaknya dapat terbagi menjadi3:
Lesi Putih

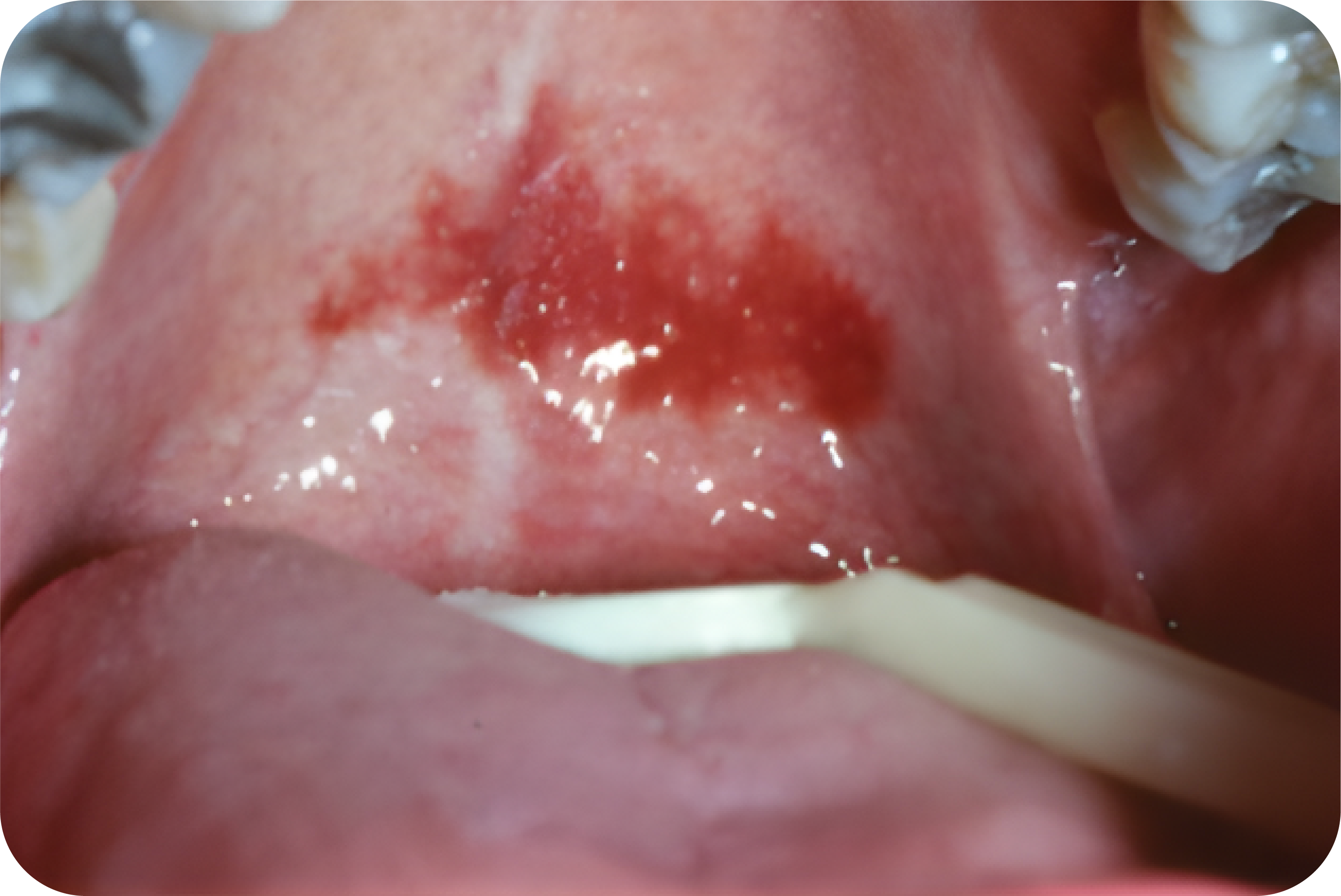
Lesi Merah


Lesi Merah Hemoragik
Ekstravasasi (perdarahan submukosa)
Petechia : Makula, 0,1–0,2 cm
Purpura : Makula, 0,3–2,0 cm 
Ekimosis : Makula, >2,0 cm 
Hematoma : Makula atau massa yang elevasi
Genetik
Leukoedema
Leukoedema adalah variasi normal yang umum dari mukosa mulut. Prevalensi telah dilaporkan hingga 90% pada orang kulit hitam dan antara 10-50% pada orang kulit putih, tanpa predileksi jenis kelamin.
Etiologi
Meskipun belum sepenuhnya dipahami, beberapa faktor seperti genetika, iritasi, atau merokok dapat berperan dalam perkembangan leukoedema
Gejala Klinis
Secara klinis penyakit ini muncul sebagai kondisi plak difus, abu-abu hingga putih, tidak dapat dikikis, yang dapat digambarkan sebagai transformasi mukosa mulut seperti susu dan opalescent.
Dalam kasus yang lebih menonjol, leukoedema ditandai dengan lipatan mukosa bersamaan dengan kerutan atau garis keputihan. Kondisi ini biasanya hilang sementara setelah peregangan lembut pada mukosa.
Leukoedema sering melibatkan mukosa bukal dan terkadang batas lateral lidah secara bilateral. Ini dapat menyebar ke mukosa labial dan jarang mempengaruhi dasar mulut, jaringan palatopharyngeal dan laring
Tatalaksana
Tidak diperlukan tatalaksana pada kondisi ini
White Sponge Nevus
Etiologi
White sponge nevus (WSN), juga disebut penyakit Cannon atau displasia lipatan putih familial, adalah kelainan dominan autosomal bawaan yang didefinisikan sebagai hiperplasia diskeratotik membran mukosa
Gejala Klinis
Lesi intraoral berbentuk simetris, menebal, putih, bergelombang atau seperti beludru, difus, plak kenyal dengan ukuran bervariasi dengan permukaan yang meninggi, tidak teratur, dan fisura.
Mukosa bukal dipengaruhi secara bilateral pada sebagian besar pasien. Daerah lain dari rongga mulut seperti permukaan ventral lidah, mukosa labial, langit-langit lunak, mukosa alveolar, dan dasar mulut juga dapat terpengaruh, namun jumlah keterlibatannya mungkin berbeda dari satu pasien ke pasien lainnya.
Situs ekstraoral meliputi mukosa hidung, esofagus, laring, dan anogenital; namun, keterlibatan mereka relatif tidak biasa dengan tidak adanya manifestasi lisan

Tatalaksana
Karena sifat lesi yang jinak, prognosis yang baik, dan tingkat kekambuhan yang jarang, tidak ada pengobatan yang disarankan
Dyskeratosis Congenita
Etiologi
Dyskeratosis congenita (DC), juga disebut sindrom Coleengman atau sindrom Zinsser-Colleengman, adalah sindrom kegagalan sumsum tulang (BMF) yang diwariskan sebagai sifat resesif terkait-X dengan predileksi pria yang ditandai dan wanita menunjukkan manifestasi klinis yang kurang serius. Kasus yang jarang dari bentuk autosomal dominan dan autosomal resesif telah dilaporkan juga.
Gejala Klinis
Manifestasi lain yang dilaporkan adalah retardasi pertumbuhan intrauterin, keterlambatan perkembangan, mikrosefali, kelainan mata dan rambut, seperti uban prematur, keringat berlebih, perawakan pendek, hipogonadisme, enteropati, penyakit hati, stenosis esofagus dan uretra, osteoporosis, dan nekrosis avaskular pada pinggul dan bahu.
Manifestasi rongga mulut yang paling penting adalah pembentukan bula diikuti oleh erosi, yang pada akhirnya berkembang menjadi lesi leukoplakia pada mukosa bukal, lidah, dan orofaring serta penyakit periodontal progresif cepat, inflamasi dan perdarahan gingiva, resesi gingiva, keropos tulang, penurunan rasio akar/mahkota., dan taurodontisme ringan
Tatalaksana
Perawatan biasanya diarahkan untuk meringankan gejala. Transformasi ganas dilaporkan pada sekitar 30% lesi leukoplakik dengan perkembangan menjadi Oral Squamous Cell Carcinoma (OSCC) dalam 10-30 tahun. Oleh karena itu, dokter harus menjadwalkan pemantauan yang sering dan pengambilan biopsi dari lesi yang mencurigakan untuk diagnosis dini potensi transformasi keganasan. Dengan kata lain, dyskeratosis congenita adalah kelainan sistem multi-organ yang membutuhkan tindak lanjut secara teratur. Dalam kondisi parah, pasien hidup sekitar 32 tahun. Pasien dan keluarga harus menerima konsultasi genetik. Kegagalan sumsum tulang adalah salah satu penyebab kematian yang paling umum dan utama, yang mengamanatkan transplantasi sel punca hematopoietik alogenik sebagai satu-satunya pengobatan utama.
Lesi Acquired
Linea Alba
Etiologi
Linea alba adalah lesi putih linier yang terjadi karena adanya trauma berupa gesekan antara permukaan mukosa dengan gigi geligi akibat iritasi ringan yang kronis tekanan oto buccinator
Gejala Klinis
Garis putih horizontal menonjol pada mukosa bukal setinggi oklusal berukuran 1-2 mm biasanya pada regio gigi caninus hingga molar.
Tanpa keluhan nyeri
Bilateral
Tidak dapat diseka
Tatalaksana
Tidak diperlukan tatalaksana
Morsicatio
Etiologi
Morsicatio berasal dari kata Latin morsus , yang berarti “menggigit”, yang juga disebut morsicatio mukosa oris atau mengunyah mukosa kronis. Lesi ini disebabkan oleh cedera yang disebabkan oleh diri sendiri dan iritasi jaringan kronis seperti kebiasaan mengunyah mukosa bukal, menggigit, atau mengisap secara kronis.
Gejala Klinis
Daerah yang paling terkena adalah epitel non-keratin dari mukosa bukal (morsicatio buccarum), bibir (morsicatio labiorum), dan batas lateral lidah (morsicatio linguarum). Morsicatio tidak melibatkan area yang tidak dapat dijangkau oleh trauma kebiasaan mengunyah.
Sementara lesi biasanya muncul secara bilateral pada bagian tengah mukosa bukal anterior sepanjang garis oklusal, lesi yang luas dapat melibatkan area mukosa bukal yang lebih luas. Kadang-kadang morsicatio dapat muncul sebagai lesi bibir dan/atau lidah unilateral
Gambaran klinisnya meliputi bercak atau plak abu-abu putih maserasi yang tidak bergejala dan menebal dengan serpihan keratin, tanda jaringan, atau area yang terkelupas pada permukaan mukosa, yang secara bertahap menggabungkan mukosa yang berdekatan
Permukaan kasar yang tidak beraturan dan mengelupas dengan eritema atau erosi—tetapi bukan ulserasi—dapat menyertai area putih, dan pasien dapat melaporkan kemampuan untuk mengelupas bagian putih dari pinggiran lesi
Tatalaksana
Karena morsicatio biasanya terjadi secara tidak sadar, pasien harus berkonsultasi dengan perilaku parafungsional mereka untuk mengatasinya. Meskipun demikian pada beberapa pasien yang kebiasaan mengunyahnya sulit dihentikan, penggunaan night guard disarankan untuk menghilangkan cedera gigi yang berdekatan dengan mukosa mulut.
Oral Lichen Planus
Etiologi
Lichen planus (LP) didefinisikan sebagai penyakit mukokutan kronis yang umum dengan etiologi yang tidak diketahui. Oral lichen planus (OLP) melibatkan 0,1-2,2% dari populasi umum dan sebagian besar muncul setelah usia paruh baya dengan usia rata-rata 55 tahun. Wanita lebih sering terkena dibandingkan pria dengan rasio wanita dan pria 3:2. . Meskipun etiologinya multifaktorial, sistem imun yang tidak seimbang dengan adanya limfosit T autoreaktif memainkan peran utama dalam evolusi penyakit ini
Gejala Klinis
Komponen putih dapat dilihat sebagai papula, plak, dan area retikuler. Umumnya, tipe papular OLP ditemukan pada fase primer penyakit. Kemudian, papula putih kecil biasanya digabungkan bersama untuk membentuk pola retikuler. Garis putih halus atau striae (juga disebut sebagai striae Wickham ) terdiri dari fitur retikuler OLP, yang dapat membentuk jaringan atau bentuk annular (melingkar).
Seringkali, striae menyertai area eritematosa di sekitarnya. OLP retikuler sering mempengaruhi mukosa bukal posterior secara bilateral, kadang-kadang lidah lateral dan dorsal, gingiva, palatum, dan jarang sisi mukosa dan perbatasan vermilion bibir
Oral Leukoplakia
Etiologi
Etiologi lesi ini dijelaskan beberapa penulis menyebutkan hubungan antara leukoplakia dan tembakau, alkohol, sanguinaria, radi
asi ultraviolet, trauma, mengunyah sirih, faktor genetik, dan mikroorganis
Gejala Klinis
Secara klinis bermanifestasi sebagai plak putih yang ireversibel, tidak dapat dikikis, dan sedikit terangkat yang mungkin tampak keriput, kasar hingga “kering atau pecah-pecah”.
Lesi ini dibagi menjadi tipe homogen atau non-homogen. Jenis homogen memiliki permukaan keputihan yang teratur dan halus dan margin yang jelas. Bentuk leukoplakia non-homogen terdiri dari bagian eritematosa (eritroleukoplakia atau tipe berbintik) atau komponen eksofitik nodular, erosif, ulserasi, atau verukosa.
Pada tipe berbintik lesi didominasi warna putih. Leukoplakia verukosa memiliki permukaan yang meninggi, proliferatif, atau bergelombang, dan tipe nodular mengembangkan pembesaran polipoid kecil atau sebagian besar bercak putih
Oral leukoplakia umumnya terlokalisir atau meluas pada mukosa bukal, vermilion bibir, dan gingiva. 
Tatalaksana
Penatalaksanaan yang disarankan meliputi eliminasi faktor predisposisi, penggunaan beta-karoten, likopen, asam askorbat, α-Tocopherol (Vitamin E), asam retinoat topikal dan sistemik (Vitamin A), bleomisin topikal, eksisi bedah pisau dingin, operasi laser sepanjang dengan tindak lanjut rutin
Concept Pages
Berlangganan premium umeds untuk akses penuh concept pages, video belajar, dan quiz untuk pendidikan kedokteran anda.
Belum punya akun? Daftar Gratis

Akses materi pembelajaran, video kuliah, dan latihan soal kapan saja di satu aplikasi